Pulmonary Veins
Most people have 4 pulmonary veins, 2 upper and 2 lower however there is variant anatomy and some have 5 with (usually an additional right middle vein). It is important to identify all veins to assess for congenital abnormalities, or when assessing for mitral regurgitation severity. The upper veins are often the easiest to assess but in >95% people all 4 veins can be seen with the proper technique.
Left Sided Pulmonary Veins
Both left sided pulmonary veins can be seen at the same time at higher angles around 110 with a lot of counterclockwise rotation past where the Left atrial appendage is seen. Sometimes a higher angle (120-130) and more insertion is need to see the left lower vein. The left upper vein will be on the right of the screen and the left lower on the left of the screen.
​


PW of the left upper pulmonary vein

PW of the left lower pulmonary vein
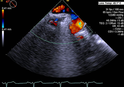
Right Sided Pulmonary Veins

Both right sided veins are best seen in the 60 to 90 degree view with a lot of clockwise rotation from the position of the bicaval view. At the bicaval view with initial further clockwise rotation, the right upper vein is seen but with additional clockwise rotation and/or lowering of the angle as well as some insertion, the lower can also be seen (on the left of the screen). As mentioned, some individuals have 3 right sided veins which is shown below.


PW of the right upper pulmonary vein
PW of the right lower pulmonary vein

Example of 3 right sided pulmonary veins a right upper (right most), right lower (left most) and middle vein.